Anatomia
Patológica

Anatomia patológica é uma especialidade médica dedicada ao estudo das alterações estruturais e funcionais das células, tecidos e órgãos causadas por doenças. Os profissionais dessa área, conhecidos como anatomopatologistas ou patologistas, utilizam microscópios e técnicas laboratoriais avançadas para examinar amostras de tecidos obtidas através de biópsias, cirurgias ou autópsias.

Os principais objetivos da anatomia patológica incluem o diagnóstico preciso de doenças, a determinação da sua natureza e extensão, a previsão do curso da doença e a orientação sobre o tratamento mais adequado para cada paciente. Além do diagnóstico, os anatomopatologistas desempenham um papel crucial na pesquisa médica e na educação, contribuindo para avanços no entendimento das doenças e no desenvolvimento de novas terapias.
Essa especialidade médica é essencial para diversas áreas da medicina, incluindo oncologia, cirurgia, pediatria, ginecologia, entre outras, pois fornece informações fundamentais para o manejo clínico e prognóstico dos pacientes.

Núcleo Médico e Diagnóstico oferece os serviços de Análises Clínicas
Anatomia Patológica Biópsias e Espécimes Cirúrgicos
+ Detalhes
Citopatologia
+ Detalhes
Preventivo do Câncer de colo Uterino - Papanicolau
+ Detalhes
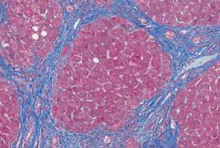
Colorações Especiais (específicas)
+ Detalhes
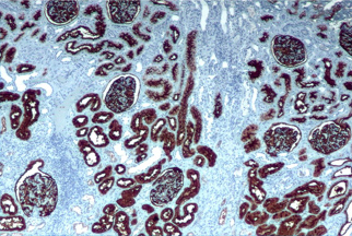
Exames Imunohistoquímicos
+ Detalhes
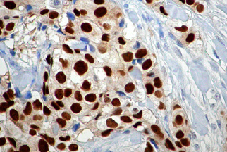
Painel Imunohistoquímico para câncer de mama
+ Detalhes
Pesquisa Molecular para HPV
+ Detalhes
Hibridização "in situ"
+ Detalhes
Patologia Molecular
+ Detalhes
Exame Per-Operatório de Congelação
+ Detalhes